Peri-implant bone regeneration
with
GUIDOR easy-graft
BY
GUIDOR

Periimplant bone regeneration
GUIDOR easy-graft CRYSTAL
Maxillary right central incisor (11)

Fig. 2 Immediate implant placement and grafting

Fig.1 X-ray of initial situation

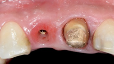
Fig. 4 5 months post-op, excellent preservation of the architecture of the ridge

Fig. 3 Immediate provisional restoration